Jeden pohľad na toto roztomilé antarktické stvorenie človeka ihneď rozcíti.
Zvieratká vyzerajú akoby boli oblečené v smokingu. Typický je pre nich ich hojdavý pohyb zo strany na stranu, no keď sa dostanú do vody, málokto ich predbehne.
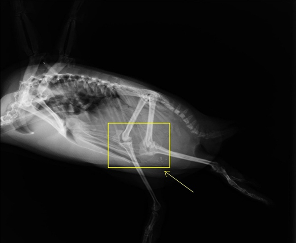
Na röntgenovýh snímkach uvidíte, čo skrývajú pred svetom.
viralnova.com
viralnova.com
Áno vidíte dobre. Hoci sa na prvý pohľad zdá, že tučniaky majú dolné končatiny obmedzené len na chodidlá, pod povrchom sa skrýva ich zvyšná časť.
Takéto dlhé nôžky má tučniak v skutočnosti.
zenheart.hk
Dušana Lukáčová/ fotografia: aktifmag.com
Súvisiace články:
Zvieratká pripomínajúce chlpaté guličky
Fontána vytvorená zo záchodov, pisoárov a umývadiel
Čítaj slovenské správy pohodlne aj v mobile. Stiahni si aplikáciu Slovak news reader



